日本橋矯正歯科


治療費詳細>>

 

 

 
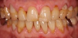
BFORE
AFTER
     


 
日本橋矯正歯科〜tokyo orthodontics〜
〒103-0022
東京都中央区日本橋室町1-9-1 日本橋室町ビル5F
銀座線・半蔵門線 三越前駅 徒歩1分
地図はこちら】【GoogleMapはこちら

中央区日本橋・矯正歯科03-6231-9866


日本橋矯正歯科〜tokyo orthodontics〜
〒103-0022
東京都中央区日本橋室町1-9-1 日本橋室町ビル5F
銀座線・半蔵門線 三越前駅 徒歩1分
地図はこちら】【GoogleMapはこちら

中央区日本橋・矯正歯科03-6231-9866


9:00

13:00
9:00

13:00
15:00

17:30(L.A.17:00)
14:30

17:30(L.A.17:00)

OPEN 火曜〜金曜 9:00〜13:00、15:00〜17:30(L.A. 17:00)
土曜 9:00〜13:00、14:30〜17:30(L.A. 17:00)
※ 金曜は午前診療はなし、午後診療のみ
CLOSE 月曜/日曜/祝日

copy right (c) Nihonbashi Orthodontic Clinic, All rights Reserved.